03-6875-5195
〒170-0004 東京都豊島区北大塚3-32-21 クリエイトスペース大塚2F (R8 8月から)〒170-0002 東京都豊島区巣鴨1-2-1 tamami building (受付 2階)
平日:【午前】10:00~13:00【午後】14:30〜18:30土曜日:【午前】9:30〜12:30【午後】13:30〜17:30休診日/日曜日・祝祭日・隔週土曜日(土曜診療の場合は翌月曜休診)English available
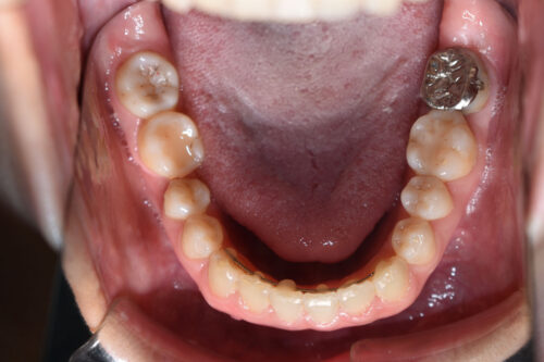
下顎右側第一大臼歯欠損部をつめる非抜歯矯正治療(かみ合わせ変化8か月)
巣鴨 池袋よりひとつ隣駅の東京都豊島区大塚駅すぐの大塚たまみ矯正歯科は、
JR山の手線沿線ぞいの大塚駅からすぐの大塚にございます、
歯並び矯正専門の歯医者(矯正歯科)です。
2026年 (令和8年)8月 JR巣鴨駅徒歩3分の場所へ 移転します。
山の手線沿線で
歯並び専門の矯正歯科クリニック
(歯科医院・歯医者)
をお探しの方はいらっしゃいますか?
初診時年齢 28歳 女性
歯のでこぼこ(叢生)
下顎右側第一大臼歯欠損(歯をぬいた)
を主訴に
池袋よりひとつ隣駅の東京都豊島区大塚駅すぐの大塚たまみ矯正歯科へ
いらっしゃいました。
歯のがたつき (叢生)
と
受け口が認められました。
2026年(令和8年) 8月 JR巣鴨駅徒歩3分の場所へ 移転予定の
大塚たまみ矯正歯科には
虫歯で歯を抜いたので
矯正治療で歯のスペースをつめたい、
補綴は避けたい
とご希望で
いらっしゃる患者さまも 少なくありません。
本症例も
下顎右側第一大臼歯欠損
上下とも歯が唇側に傾斜し
下の歯が上の歯よりも外にでている 受け口の状態でした。
2026年(令和8年) 8月 JR巣鴨駅徒歩3分の場所へ 移転予定の
豊島区の矯正歯科専門クリニック 大塚たまみ矯正歯科で
矯正専門の 精密検査を行い
非抜歯矯正治療計画で
下顎は
ご自身の歯で かめるように
歯の欠損部は
全てスペースを閉じる
非抜歯矯正治療を開始しました。
ワイヤー8か月後です。
全額矯正治療 88万円、3~4週に一回来院
歯科矯正用アンカースクリュー(デュアル・トップオートスクリュー)下顎左右2本(25000円x1本分 提携医院にて)
ワイヤー期間 8か月, 12回来院
マウスピース型カスタムメイド矯正歯科治療を用いた矯正歯科治療装置を利用した矯正治療 6か月間(少し微調整しました) 33000円、
(令和8年1月よりご契約の患者様へ
材料費などの高騰のため、保定装置代と マウスピース矯正治療代を 価格変更させていただきました)
池袋よりひとつ隣駅の東京都豊島区大塚にある
大塚たまみ矯正歯科では
矯正治療のための精密検査後
なるべくぬかないように
歯を28本残す
歯を守る
矯正治療計画をたてるように
心がけています。
本症例のように
歯科矯正用アンカースクリュー(デュアル・トップオートスクリュー)を利用し
下顎の後方移動を行うことで
歯を抜かない非抜歯矯正治療でも
受け口を整えることができます。
矯正治療には
しっかりとした診断計画と
矯正治療経験実数
矯正治療テクニックが必要です。
非抜歯矯正治療といって
出っ歯になってしまったり、
骨から外れてしまっては 意味がありません。
池袋よりひとつ隣駅の東京都豊島区大塚駅すぐの大塚たまみ矯正歯科の院長は
多くの症例を行ってきましたので、
様々なケースに 柔軟に対応できます。
歯並びや 口元が
お悩みで
歯並び・咬み合わせ専門の矯正歯科
をお探しの方は
気軽に
池袋・巣鴨駅よりひとつ隣駅の東京都豊島区大塚駅すぐ
の
大塚たまみ矯正歯科へ
ご相談ください。
豊島区の矯正歯科専門クリニック 大塚たまみ矯正歯科 小児矯正、成人矯正、審美矯正、歯科矯正用アンカースクリュー(デュアル・トップオートスクリュー ),オートローテーションホワイトニング 矯正治療のリスク(詳しくはホームページリスク詳細をご覧ください) 発音がしづらくなる場合や、歯根吸収、歯髄壊死、歯牙動揺、歯肉退縮などが生じることもございますが、大塚たまみ矯正歯科では、その都度ご説明しながら矯正治療を進めてまいります。
矯正治療の通院頻度 3~4週間に1回の通院回数となります。
当院の矯正治療は自費治療となります。 保険治療は行っておりません。
電話番号 03-6875-5195
当ブログは患者さまの許可をいただき掲載しております。 住所 〒170-0004 東京都豊島区北大塚3-32-21クリエイトスペース大塚2F JR山の手線 大塚 よりすぐ (R8 8月から)〒170-0002 東京都豊島区巣鴨1-2-1 tamami building (受付 2階)
診療時間 平日:【午前】10:00~13:00【午後】14:30〜18:30 土曜日:【午前】 9:30〜12:30【午後】13:30〜17:30 休診日 日曜日・祝祭日・隔週土曜日(土曜診療の場合は翌月曜休診) ~豊島区・板橋区・文京区・練馬区からもアクセスが便利です~
ホームページはこちら
26/02/13
TOP
巣鴨 池袋よりひとつ隣駅の東京都豊島区大塚駅すぐの大塚たまみ矯正歯科は、
JR山の手線沿線ぞいの大塚駅からすぐの大塚にございます、
歯並び矯正専門の歯医者(矯正歯科)です。
2026年 (令和8年)8月 JR巣鴨駅徒歩3分の場所へ 移転します。
山の手線沿線で
歯並び専門の矯正歯科クリニック
(歯科医院・歯医者)
をお探しの方はいらっしゃいますか?
初診時年齢 28歳 女性
歯のでこぼこ(叢生)
下顎右側第一大臼歯欠損(歯をぬいた)
を主訴に
池袋よりひとつ隣駅の東京都豊島区大塚駅すぐの大塚たまみ矯正歯科へ
いらっしゃいました。
歯のがたつき (叢生)
と
受け口が認められました。
2026年(令和8年) 8月 JR巣鴨駅徒歩3分の場所へ 移転予定の
大塚たまみ矯正歯科には
虫歯で歯を抜いたので
矯正治療で歯のスペースをつめたい、
補綴は避けたい
とご希望で
いらっしゃる患者さまも 少なくありません。
本症例も
下顎右側第一大臼歯欠損
上下とも歯が唇側に傾斜し
下の歯が上の歯よりも外にでている 受け口の状態でした。
2026年(令和8年) 8月 JR巣鴨駅徒歩3分の場所へ 移転予定の
豊島区の矯正歯科専門クリニック 大塚たまみ矯正歯科で
矯正専門の 精密検査を行い
非抜歯矯正治療計画で
下顎は
ご自身の歯で かめるように
歯の欠損部は
全てスペースを閉じる
非抜歯矯正治療を開始しました。
ワイヤー8か月後です。
全額矯正治療 88万円、3~4週に一回来院
歯科矯正用アンカースクリュー(デュアル・トップオートスクリュー)下顎左右2本(25000円x1本分 提携医院にて)
ワイヤー期間 8か月, 12回来院
マウスピース型カスタムメイド矯正歯科治療を用いた矯正歯科治療装置を利用した矯正治療 6か月間(少し微調整しました) 33000円、
(令和8年1月よりご契約の患者様へ
材料費などの高騰のため、保定装置代と マウスピース矯正治療代を 価格変更させていただきました)
池袋よりひとつ隣駅の東京都豊島区大塚にある
大塚たまみ矯正歯科では
矯正治療のための精密検査後
なるべくぬかないように
歯を28本残す
歯を守る
矯正治療計画をたてるように
心がけています。
本症例のように
歯科矯正用アンカースクリュー(デュアル・トップオートスクリュー)を利用し
下顎の後方移動を行うことで
歯を抜かない非抜歯矯正治療でも
受け口を整えることができます。
矯正治療には
しっかりとした診断計画と
矯正治療経験実数
矯正治療テクニックが必要です。
非抜歯矯正治療といって
出っ歯になってしまったり、
骨から外れてしまっては 意味がありません。
池袋よりひとつ隣駅の東京都豊島区大塚駅すぐの大塚たまみ矯正歯科の院長は
多くの症例を行ってきましたので、
様々なケースに 柔軟に対応できます。
歯並びや 口元が
お悩みで
歯並び・咬み合わせ専門の矯正歯科
をお探しの方は
気軽に
池袋・巣鴨駅よりひとつ隣駅の東京都豊島区大塚駅すぐ
の
大塚たまみ矯正歯科へ
ご相談ください。
豊島区の矯正歯科専門クリニック 大塚たまみ矯正歯科
小児矯正、成人矯正、審美矯正、歯科矯正用アンカースクリュー(デュアル・トップオートスクリュー ),オートローテーションホワイトニング
矯正治療のリスク(詳しくはホームページリスク詳細をご覧ください)
発音がしづらくなる場合や、歯根吸収、歯髄壊死、歯牙動揺、歯肉退縮などが生じることもございますが、大塚たまみ矯正歯科では、その都度ご説明しながら矯正治療を進めてまいります。
矯正治療の通院頻度
3~4週間に1回の通院回数となります。
当院の矯正治療は自費治療となります。
保険治療は行っておりません。
電話番号 03-6875-5195
当ブログは患者さまの許可をいただき掲載しております。

住所 〒170-0004 東京都豊島区北大塚3-32-21クリエイトスペース大塚2F
JR山の手線 大塚 よりすぐ
(R8 8月から)〒170-0002 東京都豊島区巣鴨1-2-1 tamami building (受付 2階)
診療時間 平日:【午前】10:00~13:00【午後】14:30〜18:30
土曜日:【午前】 9:30〜12:30【午後】13:30〜17:30
休診日 日曜日・祝祭日・隔週土曜日(土曜診療の場合は翌月曜休診)
~豊島区・板橋区・文京区・練馬区からもアクセスが便利です~
ホームページはこちら