03-6875-5195
〒170-0004 東京都豊島区北大塚3-32-21 クリエイトスペース大塚2F (R8 8月から)〒170-0002 東京都豊島区巣鴨1-2-1 tamami building (受付 2階)
平日:【午前】10:00~13:00【午後】14:30〜18:30土曜日:【午前】9:30〜12:30【午後】13:30〜17:30休診日/日曜日・祝祭日・隔週土曜日(土曜診療の場合は翌月曜休診)English available
健康な歯をなるべく残す矯正治療
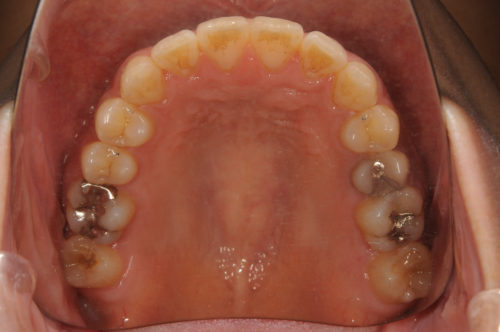
東京都豊島区の大塚たまみ矯正歯科では、なるべくご自身の健康な歯を残すように最大限努力しております。例えば抜歯治療・矯正治療でどうしても歯を抜かなければならない場合には、銀歯が入った歯をなるべく抜歯して、健康なご自身の歯は残すように矯正治療計画を立案するように心がけております。前歯のがたつきと前歯の傾斜(出っ歯)を歯を抜かない治療と同じように治した患者さまです。奥歯の第二大臼歯に深い虫歯の銀歯の治療をすでにされていたので、もったいないので埋まっていた親知らずを上顎には使用しました。東京都豊島区の大塚たまみ矯正歯科で矯正治療計画を立てる際には、むし歯の歯がどのくらいの期間残せるか、残せないならどの歯を使用できるのかなど、初診のカウンセリング後にしっかりと精密検査を行い矯正治療を開始しております。歯磨きやゴムの使用をご協力していただくと矯正の器具・ブラケットを早く外せる可能性が高くなりますので、東京都豊島区の大塚たまみ矯正歯科では、患者さまご自身にもがんばっていただきご協力をお願いしております。
半透明ブラケット 全顎矯正 成人全顎矯正費用 約1年程度
銀歯の下がむし歯になっており神経をとる治療になるため、左右第二大臼歯を抜歯してうまっている親知らず(智歯)を使用。第二大臼歯に智歯(親知らず)を使用しているため非抜歯治療と同様の矯正治療計画。
治療前
治療後
(現在、銀歯をセラミックへ治療中)
大塚たまみ矯正歯科
小児矯正、成人矯正、審美矯正、歯科矯正用アンカースクリュー(デュアル・トップオートスクリュー)、オートローテーション、ホワイトニング
矯正治療のリスク 発音がしづらくなる場合や、歯根吸収、歯髄壊死、歯牙動揺、歯肉退縮などが生じることもございますが、大塚たまみ矯正歯科では、その都度ご説明しながら矯正治療を進めてまいります。
矯正治療の通院頻度 3~4週間に1回の通院回数となります。
当院の矯正治療は自費治療となります。 保険治療は行っておりません。
電話番号 03-6875-5195 住所 〒170-0004 東京都豊島区北大塚3-32-21クリエイトスペース大塚2F 診療時間 平日:【午前】10:00~13:00【午後】14:30〜18:30 土曜日:【午前】 9:30〜12:30【午後】13:30〜17:30 休診日 日曜日・祝祭日・隔週土曜日(土曜診療の場合は翌月曜休診)
26/02/13
TOP
東京都豊島区の大塚たまみ矯正歯科では、なるべくご自身の健康な歯を残すように最大限努力しております。例えば抜歯治療・矯正治療でどうしても歯を抜かなければならない場合には、銀歯が入った歯をなるべく抜歯して、健康なご自身の歯は残すように矯正治療計画を立案するように心がけております。前歯のがたつきと前歯の傾斜(出っ歯)を歯を抜かない治療と同じように治した患者さまです。奥歯の第二大臼歯に深い虫歯の銀歯の治療をすでにされていたので、もったいないので埋まっていた親知らずを上顎には使用しました。東京都豊島区の大塚たまみ矯正歯科で矯正治療計画を立てる際には、むし歯の歯がどのくらいの期間残せるか、残せないならどの歯を使用できるのかなど、初診のカウンセリング後にしっかりと精密検査を行い矯正治療を開始しております。歯磨きやゴムの使用をご協力していただくと矯正の器具・ブラケットを早く外せる可能性が高くなりますので、東京都豊島区の大塚たまみ矯正歯科では、患者さまご自身にもがんばっていただきご協力をお願いしております。
半透明ブラケット 全顎矯正 成人全顎矯正費用 約1年程度
銀歯の下がむし歯になっており神経をとる治療になるため、左右第二大臼歯を抜歯してうまっている親知らず(智歯)を使用。第二大臼歯に智歯(親知らず)を使用しているため非抜歯治療と同様の矯正治療計画。
治療前
治療後
(現在、銀歯をセラミックへ治療中)
大塚たまみ矯正歯科
小児矯正、成人矯正、審美矯正、歯科矯正用アンカースクリュー(デュアル・トップオートスクリュー)、オートローテーション、ホワイトニング
矯正治療のリスク
発音がしづらくなる場合や、歯根吸収、歯髄壊死、歯牙動揺、歯肉退縮などが生じることもございますが、大塚たまみ矯正歯科では、その都度ご説明しながら矯正治療を進めてまいります。
矯正治療の通院頻度
3~4週間に1回の通院回数となります。
当院の矯正治療は自費治療となります。
保険治療は行っておりません。
電話番号 03-6875-5195
住所 〒170-0004 東京都豊島区北大塚3-32-21クリエイトスペース大塚2F
診療時間 平日:【午前】10:00~13:00【午後】14:30〜18:30
土曜日:【午前】 9:30〜12:30【午後】13:30〜17:30
休診日 日曜日・祝祭日・隔週土曜日(土曜診療の場合は翌月曜休診)