03-6875-5195
〒170-0004 東京都豊島区北大塚3-32-21 クリエイトスペース大塚2F (R8 8月から)〒170-0002 東京都豊島区巣鴨1-2-1 tamami building (受付 2階)
平日:【午前】10:00~13:00【午後】14:30〜18:30土曜日:【午前】9:30〜12:30【午後】13:30〜17:30休診日/日曜日・祝祭日・隔週土曜日(土曜診療の場合は翌月曜休診)English available
豊島区巣鴨で歯並びを治したい方へ(過蓋咬合 8か月 非抜歯ワイヤー矯正治療 かみ合わせ変化)
池袋駅 や 巣鴨駅よ りひとつ隣駅の東京都豊島区大塚駅すぐの大塚たまみ矯正歯科は、
JR山の手線沿線ぞいの大塚駅からすぐの大塚にございます、
歯並び矯正専門の歯医者(矯正歯科)です。
東京
豊島区
巣鴨で
歯並び専門の矯正歯科クリニック
(歯科医院・歯医者)
をお探しの方はいらっしゃいますか?
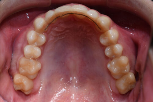
初診時年齢 17歳 男性
歯のでこぼこ (叢生)と
咬み合わせの深さ (過蓋咬合)を
気になさって
豊島区 巣鴨駅より ひとつ となり駅の
矯正歯科専門クリニック 大塚たまみ矯正歯科
へ いらっしゃいました。
歯のがたつき(叢生)が強く認められ
また下の歯が 全く見えず 過蓋咬合の状態でした。
豊島区 巣鴨駅より ひとつ隣駅の
豊島区の矯正歯科専門クリニック 大塚たまみ矯正歯科で
矯正専門の 検査を行い
非抜歯矯正治療で
ワイヤー矯正治療を開始いたしました。
ワイヤー矯正治療 8か月後です。
全額矯正治療 88万円、
(装置を装着するまでは 1~2週ごと、その後3~4週に一回来院 (11回)
歯科矯正用アンカースクリュー(デュアル・トップオートスクリュー)上顎左右2本(25000円x2本分 提携医院にて)
ワイヤー期間 7か月,
マウスピース型カスタムメイド矯正歯科治療を用いた矯正歯科治療装置を利用した矯正治療 3か月間 22000円、
矯正矯正用アンカースクリュー(デュアル・トップオートスクリュー)上顎左右2本使用することで
下あごの オートローテーションを利用し
歯を抜かない矯正治療でも
口元が出っ歯にならずに
仕上げることができます。
池袋よりひとつ隣駅の東京都豊島区大塚駅すぐの大塚たまみ矯正歯科では、
なるべく
28本の歯で
咬ませられるように
心がけております。
矯正治療には
しっかりとした 矯正診断
と
矯正治療テクニックが必要です。
非抜歯矯正治療といって
出っ歯になってしまったり、
骨から外れてしまっては 意味がありません。
池袋よりひとつ隣駅の東京都豊島区大塚駅すぐの大塚たまみ矯正歯科の院長は
多くの症例を行ってきましたので、
様々なケースに 柔軟に対応できます。
歯ならびや 口元で
お悩みで
歯並び・咬み合わせ専門の矯正歯科
をお探しの方は
気軽に
池袋よりひとつ隣駅の東京都豊島区大塚駅
すぐ
の
大塚たまみ矯正歯科へ
ご相談ください。
豊島区の矯正歯科専門クリニック 大塚たまみ矯正歯科 小児矯正、成人矯正、審美矯正、歯科矯正用アンカースクリュー(デュアル・トップオートスクリュー ),オートローテーションホワイトニング 矯正治療のリスク(詳しくはホームページリスク詳細をご覧ください) 発音がしづらくなる場合や、歯根吸収、歯髄壊死、歯牙動揺、歯肉退縮などが生じることもございますが、大塚たまみ矯正歯科では、その都度ご説明しながら矯正治療を進めてまいります。
矯正治療の通院頻度 3~4週間に1回の通院回数となります。
当院の矯正治療は自費治療となります。 保険治療は行っておりません。
電話番号 03-6875-5195
当ブログは患者さまの許可をいただき掲載しております。 住所 〒170-0004 東京都豊島区北大塚3-32-21クリエイトスペース大塚2F JR山の手線 大塚 よりすぐ
診療時間 平日:【午前】10:00~13:00【午後】14:30〜18:30 土曜日:【午前】 9:30〜12:30【午後】13:30〜17:30 休診日 日曜日・祝祭日・隔週土曜日(土曜診療の場合は翌月曜休診) ~豊島区・板橋区・文京区・練馬区からもアクセスが便利です~
ホームページはこちら
26/02/13
TOP
池袋駅 や 巣鴨駅よ りひとつ隣駅の東京都豊島区大塚駅すぐの大塚たまみ矯正歯科は、
JR山の手線沿線ぞいの大塚駅からすぐの大塚にございます、
歯並び矯正専門の歯医者(矯正歯科)です。
東京
豊島区
巣鴨で
歯並び専門の矯正歯科クリニック
(歯科医院・歯医者)
をお探しの方はいらっしゃいますか?
初診時年齢 17歳 男性
歯のでこぼこ (叢生)と
咬み合わせの深さ (過蓋咬合)を
気になさって
豊島区 巣鴨駅より ひとつ となり駅の
矯正歯科専門クリニック 大塚たまみ矯正歯科
へ いらっしゃいました。
歯のがたつき(叢生)が強く認められ
また下の歯が 全く見えず 過蓋咬合の状態でした。
豊島区 巣鴨駅より ひとつ隣駅の
豊島区の矯正歯科専門クリニック 大塚たまみ矯正歯科で
矯正専門の 検査を行い
非抜歯矯正治療で
ワイヤー矯正治療を開始いたしました。
ワイヤー矯正治療 8か月後です。
全額矯正治療 88万円、
(装置を装着するまでは 1~2週ごと、その後3~4週に一回来院 (11回)
歯科矯正用アンカースクリュー(デュアル・トップオートスクリュー)上顎左右2本(25000円x2本分 提携医院にて)
ワイヤー期間 7か月,
マウスピース型カスタムメイド矯正歯科治療を用いた矯正歯科治療装置を利用した矯正治療 3か月間 22000円、
矯正矯正用アンカースクリュー(デュアル・トップオートスクリュー)上顎左右2本使用することで
下あごの オートローテーションを利用し
歯を抜かない矯正治療でも
口元が出っ歯にならずに
仕上げることができます。
池袋よりひとつ隣駅の東京都豊島区大塚駅すぐの大塚たまみ矯正歯科では、
なるべく
28本の歯で
咬ませられるように
心がけております。
矯正治療には
しっかりとした 矯正診断
と
矯正治療テクニックが必要です。
非抜歯矯正治療といって
出っ歯になってしまったり、
骨から外れてしまっては 意味がありません。
池袋よりひとつ隣駅の東京都豊島区大塚駅すぐの大塚たまみ矯正歯科の院長は
多くの症例を行ってきましたので、
様々なケースに 柔軟に対応できます。
歯ならびや 口元で
お悩みで
歯並び・咬み合わせ専門の矯正歯科
をお探しの方は
気軽に
池袋よりひとつ隣駅の東京都豊島区大塚駅
すぐ
の
大塚たまみ矯正歯科へ
ご相談ください。
豊島区の矯正歯科専門クリニック 大塚たまみ矯正歯科
小児矯正、成人矯正、審美矯正、歯科矯正用アンカースクリュー(デュアル・トップオートスクリュー ),オートローテーションホワイトニング
矯正治療のリスク(詳しくはホームページリスク詳細をご覧ください)
発音がしづらくなる場合や、歯根吸収、歯髄壊死、歯牙動揺、歯肉退縮などが生じることもございますが、大塚たまみ矯正歯科では、その都度ご説明しながら矯正治療を進めてまいります。
矯正治療の通院頻度
3~4週間に1回の通院回数となります。
当院の矯正治療は自費治療となります。
保険治療は行っておりません。
電話番号 03-6875-5195
当ブログは患者さまの許可をいただき掲載しております。

住所 〒170-0004 東京都豊島区北大塚3-32-21クリエイトスペース大塚2F
JR山の手線 大塚 よりすぐ
診療時間 平日:【午前】10:00~13:00【午後】14:30〜18:30
土曜日:【午前】 9:30〜12:30【午後】13:30〜17:30
休診日 日曜日・祝祭日・隔週土曜日(土曜診療の場合は翌月曜休診)
~豊島区・板橋区・文京区・練馬区からもアクセスが便利です~
ホームページはこちら