03-6875-5195
〒170-0004 東京都豊島区北大塚3-32-21 クリエイトスペース大塚2F (R8 8月から)〒170-0002 東京都豊島区巣鴨1-2-1 tamami building (受付 2階)
平日:【午前】10:00~13:00【午後】14:30〜18:30土曜日:【午前】9:30〜12:30【午後】13:30〜17:30休診日/日曜日・祝祭日・隔週土曜日(土曜診療の場合は翌月曜休診)English available
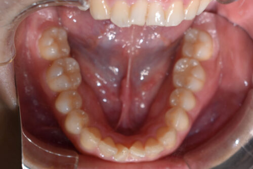
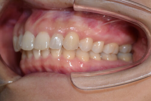
下の歯がみえない 過蓋咬合を非抜歯矯正治療で治した(ワイヤー矯正機関10か月)かみ合わせ変化
巣鴨 池袋よりひとつ隣駅の東京都豊島区大塚駅すぐの大塚たまみ矯正歯科は、
JR山の手線沿線ぞいの大塚駅からすぐの大塚にございます、
歯並び矯正専門の歯医者(矯正歯科)です。
山の手線沿線で
歯並び専門の矯正歯科クリニック
(歯科医院・歯医者)
をお探しの方はいらっしゃいますか?
初診時年齢 30歳 女性
過蓋咬合と
叢生(歯ならびの デコボコ)
を主訴に
池袋よりひとつ隣駅の東京都豊島区大塚駅すぐの大塚たまみ矯正歯科へ
いらっしゃいました。
下の歯が 全く見えない状態で
上下の歯が 翼のように ガタついて(翼状捻転)いる
状態でした。
豊島区の矯正歯科専門クリニック 大塚たまみ矯正歯科では
なるべく 大切な歯をぬかないように
矯正治療計画を立案します。
本症例も
矯正専門の 精密検査を行い
非抜歯矯正治療で行う
矯正治療計画で開始しました。
ワイヤー矯正治療10か月後です。
全額矯正治療 88万円、3~4週に一回来院
歯科矯正用アンカースクリュー(デュアル・トップオートスクリュー)上顎左右2本(25000円x2本分 提携医院にて)
ワイヤー期間 10か月, 13回来院
マウスピース型カスタムメイド矯正歯科治療を用いた矯正歯科治療装置を利用した矯正治療 3か月間 22000円、
かみ合わせをあげながら
歯の並びをそろえていくことで
歯をぬかなくても
出っ歯にならずに
非抜歯矯正治療で
咬合させることができます。
また
過蓋咬合の患者さまは
下顎後退症の方が多く
下あごを 出したい
という ご希望の方が 多くいらっしゃいます。
最近では
歯科矯正用アンカースクリュー(デュアル・トップオートスクリュー)を使用して
下顎のオートローテーションを行うことで
下顎が 前方へ 回転して
下あごの 後退感が 目立たなくなる
矯正治療を一緒に行えます。
初診で
豊島区の矯正歯科専門クリニック 大塚たまみ矯正歯科へ
いらっしゃった際、
他院の初診では
2~3年矯正治療にかかりますと言われたけど
そんなに早く終わるんですか?
他と何が違うんですか?
とよく聞かれます。
矯正治療で 一番大切なことは
診断で 矯正治療計画の立案を しっかりと計画だてなければいけません。
そして
矯正治療経験 と 矯正治療のテクニック
いろいろな矯正治療の方法を知っていることで
様々な対応ができるようになります。
池袋よりひとつ隣駅の東京都豊島区大塚駅すぐの大塚たまみ矯正歯科では、
なるべく
28本の歯で
咬ませられるように
心がけております。
矯正治療には
しっかりとした 矯正診断
と
矯正治療テクニックが
必要です。
非抜歯矯正治療といって
出っ歯になってしまったり、
骨から外れてしまっては 意味がありません。
池袋よりひとつ隣駅の東京都豊島区大塚駅すぐの大塚たまみ矯正歯科の院長は
多くの症例を行ってきましたので、
様々なケースに 柔軟に対応できます。
歯ならびや 口元で
お悩みで
歯並び・咬み合わせ専門の矯正歯科
をお探しの方は
気軽に
池袋よりひとつ隣駅の東京都豊島区大塚駅
すぐ
の
大塚たまみ矯正歯科へ
ご相談ください。
豊島区の矯正歯科専門クリニック 大塚たまみ矯正歯科 小児矯正、成人矯正、審美矯正、歯科矯正用アンカースクリュー(デュアル・トップオートスクリュー ),オートローテーションホワイトニング 矯正治療のリスク(詳しくはホームページリスク詳細をご覧ください) 発音がしづらくなる場合や、歯根吸収、歯髄壊死、歯牙動揺、歯肉退縮などが生じることもございますが、大塚たまみ矯正歯科では、その都度ご説明しながら矯正治療を進めてまいります。
矯正治療の通院頻度 3~4週間に1回の通院回数となります。
当院の矯正治療は自費治療となります。 保険治療は行っておりません。
電話番号 03-6875-5195
当ブログは患者さまの許可をいただき掲載しております。
住所 〒170-0004 東京都豊島区北大塚3-32-21クリエイトスペース大塚2F JR山の手線 大塚 よりすぐ
診療時間 平日:【午前】10:00~13:00【午後】14:30〜18:30 土曜日:【午前】 9:30〜12:30【午後】13:30〜17:30 休診日 日曜日・祝祭日・隔週土曜日(土曜診療の場合は翌月曜休診) ~豊島区・板橋区・文京区・練馬区からもアクセスが便利です~
ホームページはこちら
26/02/13
TOP
巣鴨 池袋よりひとつ隣駅の東京都豊島区大塚駅すぐの大塚たまみ矯正歯科は、
JR山の手線沿線ぞいの大塚駅からすぐの大塚にございます、
歯並び矯正専門の歯医者(矯正歯科)です。
山の手線沿線で
歯並び専門の矯正歯科クリニック
(歯科医院・歯医者)
をお探しの方はいらっしゃいますか?
初診時年齢 30歳 女性
過蓋咬合と
叢生(歯ならびの デコボコ)
を主訴に
池袋よりひとつ隣駅の東京都豊島区大塚駅すぐの大塚たまみ矯正歯科へ
いらっしゃいました。
下の歯が 全く見えない状態で
上下の歯が 翼のように ガタついて(翼状捻転)いる
状態でした。
豊島区の矯正歯科専門クリニック 大塚たまみ矯正歯科では
なるべく 大切な歯をぬかないように
矯正治療計画を立案します。
本症例も
矯正専門の 精密検査を行い
非抜歯矯正治療で行う
矯正治療計画で開始しました。
ワイヤー矯正治療10か月後です。
全額矯正治療 88万円、3~4週に一回来院
歯科矯正用アンカースクリュー(デュアル・トップオートスクリュー)上顎左右2本(25000円x2本分 提携医院にて)
ワイヤー期間 10か月, 13回来院
マウスピース型カスタムメイド矯正歯科治療を用いた矯正歯科治療装置を利用した矯正治療 3か月間 22000円、
かみ合わせをあげながら
歯の並びをそろえていくことで
歯をぬかなくても
出っ歯にならずに
非抜歯矯正治療で
咬合させることができます。
また
過蓋咬合の患者さまは
下顎後退症の方が多く
下あごを 出したい
という ご希望の方が 多くいらっしゃいます。
最近では
歯科矯正用アンカースクリュー(デュアル・トップオートスクリュー)を使用して
下顎のオートローテーションを行うことで
下顎が 前方へ 回転して
下あごの 後退感が 目立たなくなる
矯正治療を一緒に行えます。
初診で
豊島区の矯正歯科専門クリニック 大塚たまみ矯正歯科へ
いらっしゃった際、
他院の初診では
2~3年矯正治療にかかりますと言われたけど
そんなに早く終わるんですか?
他と何が違うんですか?
とよく聞かれます。
矯正治療で 一番大切なことは
診断で 矯正治療計画の立案を しっかりと計画だてなければいけません。
そして
矯正治療経験 と 矯正治療のテクニック
いろいろな矯正治療の方法を知っていることで
様々な対応ができるようになります。
池袋よりひとつ隣駅の東京都豊島区大塚駅すぐの大塚たまみ矯正歯科では、
なるべく
28本の歯で
咬ませられるように
心がけております。
矯正治療には
しっかりとした 矯正診断
と
矯正治療テクニックが
必要です。
非抜歯矯正治療といって
出っ歯になってしまったり、
骨から外れてしまっては 意味がありません。
池袋よりひとつ隣駅の東京都豊島区大塚駅すぐの大塚たまみ矯正歯科の院長は
多くの症例を行ってきましたので、
様々なケースに 柔軟に対応できます。
歯ならびや 口元で
お悩みで
歯並び・咬み合わせ専門の矯正歯科
をお探しの方は
気軽に
池袋よりひとつ隣駅の東京都豊島区大塚駅
すぐ
の
大塚たまみ矯正歯科へ
ご相談ください。
豊島区の矯正歯科専門クリニック 大塚たまみ矯正歯科
小児矯正、成人矯正、審美矯正、歯科矯正用アンカースクリュー(デュアル・トップオートスクリュー ),オートローテーションホワイトニング
矯正治療のリスク(詳しくはホームページリスク詳細をご覧ください)
発音がしづらくなる場合や、歯根吸収、歯髄壊死、歯牙動揺、歯肉退縮などが生じることもございますが、大塚たまみ矯正歯科では、その都度ご説明しながら矯正治療を進めてまいります。
矯正治療の通院頻度
3~4週間に1回の通院回数となります。
当院の矯正治療は自費治療となります。
保険治療は行っておりません。
電話番号 03-6875-5195
当ブログは患者さまの許可をいただき掲載しております。
住所 〒170-0004 東京都豊島区北大塚3-32-21クリエイトスペース大塚2F
JR山の手線 大塚 よりすぐ
診療時間 平日:【午前】10:00~13:00【午後】14:30〜18:30
土曜日:【午前】 9:30〜12:30【午後】13:30〜17:30
休診日 日曜日・祝祭日・隔週土曜日(土曜診療の場合は翌月曜休診)
~豊島区・板橋区・文京区・練馬区からもアクセスが便利です~
ホームページはこちら