03-6875-5195
〒170-0004 東京都豊島区北大塚3-32-21 クリエイトスペース大塚2F (R8 8月から)〒170-0002 東京都豊島区巣鴨1-2-1 tamami building (受付 2階)
平日:【午前】10:00~13:00【午後】14:30〜18:30土曜日:【午前】9:30〜12:30【午後】13:30〜17:30休診日/日曜日・祝祭日・隔週土曜日(土曜診療の場合は翌月曜休診)English available
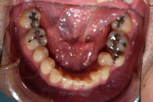
下顎第二小臼歯の頬側転位、叢生、出っ歯を矯正治療でオートローテーションして治した非抜歯矯正治療(咬み合わせ変化12か月)
巣鴨 池袋よりひとつ隣駅の東京都豊島区大塚駅すぐの大塚たまみ矯正歯科は、
JR山の手線沿線ぞいの大塚駅からすぐの大塚にございます、
歯並び矯正専門の歯医者(矯正歯科)です。
2026年 春頃 JR巣鴨駅徒歩4分の場所へ 移転します。
山の手線沿線で
歯並び専門の矯正歯科クリニック
(歯科医院・歯医者)
をお探しの方はいらっしゃいますか?
初診時年齢 46歳 男性
歯のでこぼこ(叢生)
左下第二小臼歯が 外に飛び出している
と
頬側転位
を主訴に
池袋よりひとつ隣駅の東京都豊島区大塚駅すぐの大塚たまみ矯正歯科へ
いらっしゃいました。
かみ合わせが深く
がたついている 状態でした。
2026年 春頃 JR巣鴨駅徒歩4分の場所へ 移転予定の
豊島区の矯正歯科専門クリニック 大塚たまみ矯正歯科で
矯正専門の 精密検査を行い
非抜歯矯正治療で
ワイヤー矯正治療を 開始いたしました。
ワイヤー矯正治療12か月後です。
全額矯正治療 88万円、3~4週に一回来院
歯科矯正用アンカースクリュー(デュアル・トップオートスクリュー)上顎左右2本(25000円x2本分 提携医院にて)
ワイヤー期間 12か月, 16回来院
マウスピース型カスタムメイド矯正歯科治療を用いた矯正歯科治療装置を利用した矯正治療 3か月間 33000円、
池袋よりひとつ隣駅の東京都豊島区大塚にある
大塚たまみ矯正歯科では
矯正治療のための精密検査後
なるべくぬかないように
歯を28本残す
歯を守る
矯正治療計画をたてるように
心がけています。
本症例も
左下の部分矯正治療をご希望でしたが、
スペースがなく 歯を抜かないと 並べられなくなってしまうため、
全顎矯正治療をおすすめして
開始しましたが、
非抜歯矯正治療で終えるため
上顎左右臼歯部に
歯科矯正用アンカースクリュー(デュアル・トップオートスクリュー)を用い
下あごを オートローテーションさせ
また 上下の歯列全体を
後方へ移動させることで
歯を抜かなくても
口元の改善も行いました。
矯正治療には
しっかりとした診断計画と
矯正治療経験実数、
矯正治療テクニックが必要です。
非抜歯矯正治療といって
出っ歯になってしまったり、
骨から外れてしまっては 意味がありません。
池袋よりひとつ隣駅の東京都豊島区大塚駅すぐの大塚たまみ矯正歯科の院長は
多くの症例を行ってきましたので、
様々なケースに 柔軟に対応できます。
歯ならびや 口元で
お悩みで
歯並び・咬み合わせ専門の矯正歯科
をお探しの方は
気軽に
池袋よりひとつ隣駅の東京都豊島区大塚駅すぐ
の
大塚たまみ矯正歯科へ
ご相談ください。
豊島区の矯正歯科専門クリニック 大塚たまみ矯正歯科 小児矯正、成人矯正、審美矯正、歯科矯正用アンカースクリュー(デュアル・トップオートスクリュー ),オートローテーションホワイトニング 矯正治療のリスク(詳しくはホームページリスク詳細をご覧ください) 発音がしづらくなる場合や、歯根吸収、歯髄壊死、歯牙動揺、歯肉退縮などが生じることもございますが、大塚たまみ矯正歯科では、その都度ご説明しながら矯正治療を進めてまいります。
矯正治療の通院頻度 3~4週間に1回の通院回数となります。
当院の矯正治療は自費治療となります。 保険治療は行っておりません。
電話番号 03-6875-5195
当ブログは患者さまの許可をいただき掲載しております。 住所 〒170-0004 東京都豊島区北大塚3-32-21クリエイトスペース大塚2F JR山の手線 大塚 よりすぐ
診療時間 平日:【午前】10:00~13:00【午後】14:30〜18:30 土曜日:【午前】 9:30〜12:30【午後】13:30〜17:30 休診日 日曜日・祝祭日・隔週土曜日(土曜診療の場合は翌月曜休診) ~豊島区・板橋区・文京区・練馬区からもアクセスが便利です~
ホームページはこちら
26/02/13
TOP
巣鴨 池袋よりひとつ隣駅の東京都豊島区大塚駅すぐの大塚たまみ矯正歯科は、
JR山の手線沿線ぞいの大塚駅からすぐの大塚にございます、
歯並び矯正専門の歯医者(矯正歯科)です。
2026年 春頃 JR巣鴨駅徒歩4分の場所へ 移転します。
山の手線沿線で
歯並び専門の矯正歯科クリニック
(歯科医院・歯医者)
をお探しの方はいらっしゃいますか?
初診時年齢 46歳 男性
歯のでこぼこ(叢生)
左下第二小臼歯が 外に飛び出している
と
頬側転位
を主訴に
池袋よりひとつ隣駅の東京都豊島区大塚駅すぐの大塚たまみ矯正歯科へ
いらっしゃいました。
かみ合わせが深く
がたついている 状態でした。
2026年 春頃 JR巣鴨駅徒歩4分の場所へ 移転予定の
豊島区の矯正歯科専門クリニック 大塚たまみ矯正歯科で
矯正専門の 精密検査を行い
非抜歯矯正治療で
ワイヤー矯正治療を 開始いたしました。
ワイヤー矯正治療12か月後です。
全額矯正治療 88万円、3~4週に一回来院
歯科矯正用アンカースクリュー(デュアル・トップオートスクリュー)上顎左右2本(25000円x2本分 提携医院にて)
ワイヤー期間 12か月, 16回来院
マウスピース型カスタムメイド矯正歯科治療を用いた矯正歯科治療装置を利用した矯正治療 3か月間 33000円、
2026年 春頃 JR巣鴨駅徒歩4分の場所へ 移転予定の
池袋よりひとつ隣駅の東京都豊島区大塚にある
大塚たまみ矯正歯科では
矯正治療のための精密検査後
なるべくぬかないように
歯を28本残す
歯を守る
矯正治療計画をたてるように
心がけています。
本症例も
左下の部分矯正治療をご希望でしたが、
スペースがなく 歯を抜かないと 並べられなくなってしまうため、
全顎矯正治療をおすすめして
開始しましたが、
非抜歯矯正治療で終えるため
上顎左右臼歯部に
歯科矯正用アンカースクリュー(デュアル・トップオートスクリュー)を用い
下あごを オートローテーションさせ
また 上下の歯列全体を
後方へ移動させることで
歯を抜かなくても
口元の改善も行いました。
矯正治療には
しっかりとした診断計画と
矯正治療経験実数、
矯正治療テクニックが必要です。
非抜歯矯正治療といって
出っ歯になってしまったり、
骨から外れてしまっては 意味がありません。
池袋よりひとつ隣駅の東京都豊島区大塚駅すぐの大塚たまみ矯正歯科の院長は
多くの症例を行ってきましたので、
様々なケースに 柔軟に対応できます。
歯ならびや 口元で
お悩みで
歯並び・咬み合わせ専門の矯正歯科
をお探しの方は
気軽に
池袋よりひとつ隣駅の東京都豊島区大塚駅すぐ
の
大塚たまみ矯正歯科へ
ご相談ください。
豊島区の矯正歯科専門クリニック 大塚たまみ矯正歯科
小児矯正、成人矯正、審美矯正、歯科矯正用アンカースクリュー(デュアル・トップオートスクリュー ),オートローテーションホワイトニング
矯正治療のリスク(詳しくはホームページリスク詳細をご覧ください)
発音がしづらくなる場合や、歯根吸収、歯髄壊死、歯牙動揺、歯肉退縮などが生じることもございますが、大塚たまみ矯正歯科では、その都度ご説明しながら矯正治療を進めてまいります。
矯正治療の通院頻度
3~4週間に1回の通院回数となります。
当院の矯正治療は自費治療となります。
保険治療は行っておりません。
電話番号 03-6875-5195
当ブログは患者さまの許可をいただき掲載しております。

住所 〒170-0004 東京都豊島区北大塚3-32-21クリエイトスペース大塚2F
JR山の手線 大塚 よりすぐ
診療時間 平日:【午前】10:00~13:00【午後】14:30〜18:30
土曜日:【午前】 9:30〜12:30【午後】13:30〜17:30
休診日 日曜日・祝祭日・隔週土曜日(土曜診療の場合は翌月曜休診)
~豊島区・板橋区・文京区・練馬区からもアクセスが便利です~
ホームページはこちら