03-6875-5195
〒170-0004 東京都豊島区北大塚3-32-21 クリエイトスペース大塚2F (R8 8月から)〒170-0002 東京都豊島区巣鴨1-2-1 tamami building (受付 2階)
平日:【午前】10:00~13:00【午後】14:30〜18:30土曜日:【午前】9:30〜12:30【午後】13:30〜17:30休診日/日曜日・祝祭日・隔週土曜日(土曜診療の場合は翌月曜休診)English available
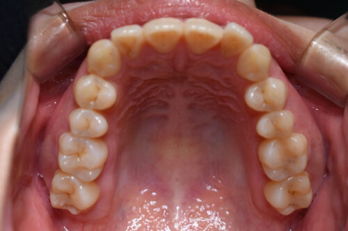
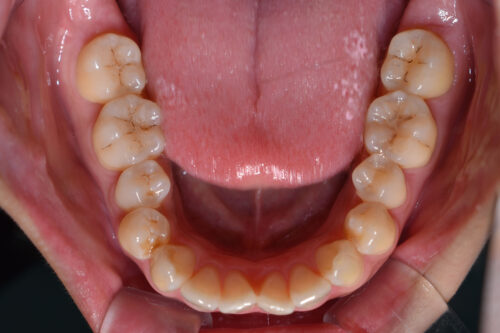
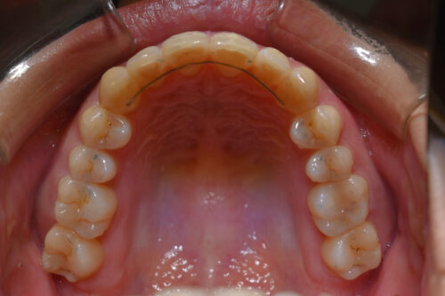
出っ歯と叢生の非抜歯矯正治療(ワイヤー期間11か月 かみ合わせ変化)
巣鴨 ・池袋よりひとつ隣駅の東京都豊島区大塚駅すぐの大塚たまみ矯正歯科は、
JR山の手線沿線ぞいの大塚駅からすぐの大塚にございます、
歯並び矯正専門の歯医者(矯正歯科)です。
豊島区 巣鴨や 板橋 大塚 目白 池袋 などの
山の手線沿線で
歯並び専門の矯正歯科クリニック
(歯科医院・歯医者)
をお探しの方はいらっしゃいますか?
池袋よりひとつ隣駅の東京都豊島区大塚駅すぐの大塚たまみ矯正歯科は、
2026年 (令和8年)春頃 JR巣鴨駅徒歩3分の場所へ 移転します。
初診時年齢28歳女性
歯のがたつき(叢生)と
出っ歯
顔の長さを気になさり
巣鴨 ・ 池袋よりひとつ隣駅の東京都豊島区大塚駅すぐの大塚たまみ矯正歯科へ
来院されました。
かみ合わせは
奥歯が出っ歯方向へ
また 下方へ成長し ずれた状態で
開咬を呈しておりました。
2026年(令和8年) 春頃 JR巣鴨駅徒歩3分の場所へ 移転予定の
豊島区の矯正歯科専門クリニック 大塚たまみ矯正歯科では
なるべく歯をぬかない 非抜歯矯正治療で
矯正治療計画を立案します。
本症例も
矯正治療の精密検査後
非抜歯矯正治療計画を立案しました。
ワイヤー矯正治療11か月後です。
全額矯正治療 88万円、3~4週に一回来院
歯科矯正用アンカースクリュー(デュアル・トップオートスクリュー)上顎左右2本(25000円x1本分 提携医院にて)
ワイヤー期間 11か月, 17回来院
マウスピース型カスタムメイド矯正歯科治療を用いた矯正歯科治療装置を利用した矯正治療 5か月間 33000円、
(令和8年1月よりご契約の患者様へ
材料費などの高騰のため、保定装置代と マウスピース矯正治療代を 価格変更させていただきます)
池袋よりひとつ隣駅の東京都豊島区大塚にある
大塚たまみ矯正歯科では
矯正治療のための精密検査後
なるべくぬかないように
歯を28本残す
歯を守る
矯正治療計画をたてるように
心がけています。
本症例のように
屋根のように 上下の歯が 唇側に傾斜しており
口元が出っ歯に見えるのを気になさる患者様も多くいらっしゃいます。
昔は 第一小臼歯を4本抜歯して 矯正治療をしましたが、
今は 歯科矯正用アンカースクリュー(デュアル・トップオートスクリュー)を利用する
ことで
歯を抜かなくても 歯列全体を後方へ移動することができるようになりました。
矯正治療には
しっかりとした診断計画と
矯正治療経験実数、
矯正治療テクニックが必要です。
非抜歯矯正治療といって
出っ歯になってしまったり、
骨から外れてしまっては 意味がありません。
池袋よりひとつ隣駅の東京都豊島区大塚駅すぐの大塚たまみ矯正歯科の院長は
多くの症例を行ってきましたので、
様々なケースに 柔軟に対応できます。
歯並びや 口元が
お悩みで
歯並び・咬み合わせ専門の矯正歯科
をお探しの方は
気軽に
池袋・巣鴨駅よりひとつ隣駅の東京都豊島区大塚駅すぐ
の
大塚たまみ矯正歯科へ
ご相談ください。
豊島区の矯正歯科専門クリニック 大塚たまみ矯正歯科 小児矯正、成人矯正、審美矯正、歯科矯正用アンカースクリュー(デュアル・トップオートスクリュー ),オートローテーションホワイトニング 矯正治療のリスク(詳しくはホームページリスク詳細をご覧ください) 発音がしづらくなる場合や、歯根吸収、歯髄壊死、歯牙動揺、歯肉退縮などが生じることもございますが、大塚たまみ矯正歯科では、その都度ご説明しながら矯正治療を進めてまいります。
矯正治療の通院頻度 3~4週間に1回の通院回数となります。
当院の矯正治療は自費治療となります。 保険治療は行っておりません。
電話番号 03-6875-5195
当ブログは患者さまの許可をいただき掲載しております。 住所 〒170-0004 東京都豊島区北大塚3-32-21クリエイトスペース大塚2F JR山の手線 大塚 よりすぐ
診療時間 平日:【午前】10:00~13:00【午後】14:30〜18:30 土曜日:【午前】 9:30〜12:30【午後】13:30〜17:30 休診日 日曜日・祝祭日・隔週土曜日(土曜診療の場合は翌月曜休診) ~豊島区・板橋区・文京区・練馬区からもアクセスが便利です~
ホームページはこちら
26/02/13
TOP
巣鴨 ・池袋よりひとつ隣駅の東京都豊島区大塚駅すぐの大塚たまみ矯正歯科は、
JR山の手線沿線ぞいの大塚駅からすぐの大塚にございます、
歯並び矯正専門の歯医者(矯正歯科)です。
豊島区 巣鴨や 板橋 大塚 目白 池袋 などの
山の手線沿線で
歯並び専門の矯正歯科クリニック
(歯科医院・歯医者)
をお探しの方はいらっしゃいますか?
池袋よりひとつ隣駅の東京都豊島区大塚駅すぐの大塚たまみ矯正歯科は、
2026年 (令和8年)春頃 JR巣鴨駅徒歩3分の場所へ 移転します。
初診時年齢28歳女性
歯のがたつき(叢生)と
出っ歯
顔の長さを気になさり
巣鴨 ・ 池袋よりひとつ隣駅の東京都豊島区大塚駅すぐの大塚たまみ矯正歯科へ
来院されました。
かみ合わせは
奥歯が出っ歯方向へ
また 下方へ成長し ずれた状態で
開咬を呈しておりました。
2026年(令和8年) 春頃 JR巣鴨駅徒歩3分の場所へ 移転予定の
豊島区の矯正歯科専門クリニック 大塚たまみ矯正歯科では
なるべく歯をぬかない 非抜歯矯正治療で
矯正治療計画を立案します。
本症例も
矯正治療の精密検査後
非抜歯矯正治療計画を立案しました。
ワイヤー矯正治療11か月後です。
全額矯正治療 88万円、3~4週に一回来院
歯科矯正用アンカースクリュー(デュアル・トップオートスクリュー)上顎左右2本(25000円x1本分 提携医院にて)
ワイヤー期間 11か月, 17回来院
マウスピース型カスタムメイド矯正歯科治療を用いた矯正歯科治療装置を利用した矯正治療 5か月間 33000円、
(令和8年1月よりご契約の患者様へ
材料費などの高騰のため、保定装置代と マウスピース矯正治療代を 価格変更させていただきます)
池袋よりひとつ隣駅の東京都豊島区大塚にある
大塚たまみ矯正歯科では
矯正治療のための精密検査後
なるべくぬかないように
歯を28本残す
歯を守る
矯正治療計画をたてるように
心がけています。
本症例のように
屋根のように 上下の歯が 唇側に傾斜しており
口元が出っ歯に見えるのを気になさる患者様も多くいらっしゃいます。
昔は 第一小臼歯を4本抜歯して 矯正治療をしましたが、
今は 歯科矯正用アンカースクリュー(デュアル・トップオートスクリュー)を利用する
ことで
歯を抜かなくても 歯列全体を後方へ移動することができるようになりました。
矯正治療には
しっかりとした診断計画と
矯正治療経験実数、
矯正治療テクニックが必要です。
非抜歯矯正治療といって
出っ歯になってしまったり、
骨から外れてしまっては 意味がありません。
池袋よりひとつ隣駅の東京都豊島区大塚駅すぐの大塚たまみ矯正歯科の院長は
多くの症例を行ってきましたので、
様々なケースに 柔軟に対応できます。
歯並びや 口元が
お悩みで
歯並び・咬み合わせ専門の矯正歯科
をお探しの方は
気軽に
池袋・巣鴨駅よりひとつ隣駅の東京都豊島区大塚駅すぐ
の
大塚たまみ矯正歯科へ
ご相談ください。
豊島区の矯正歯科専門クリニック 大塚たまみ矯正歯科
小児矯正、成人矯正、審美矯正、歯科矯正用アンカースクリュー(デュアル・トップオートスクリュー ),オートローテーションホワイトニング
矯正治療のリスク(詳しくはホームページリスク詳細をご覧ください)
発音がしづらくなる場合や、歯根吸収、歯髄壊死、歯牙動揺、歯肉退縮などが生じることもございますが、大塚たまみ矯正歯科では、その都度ご説明しながら矯正治療を進めてまいります。
矯正治療の通院頻度
3~4週間に1回の通院回数となります。
当院の矯正治療は自費治療となります。
保険治療は行っておりません。
電話番号 03-6875-5195
当ブログは患者さまの許可をいただき掲載しております。

住所 〒170-0004 東京都豊島区北大塚3-32-21クリエイトスペース大塚2F
JR山の手線 大塚 よりすぐ
診療時間 平日:【午前】10:00~13:00【午後】14:30〜18:30
土曜日:【午前】 9:30〜12:30【午後】13:30〜17:30
休診日 日曜日・祝祭日・隔週土曜日(土曜診療の場合は翌月曜休診)
~豊島区・板橋区・文京区・練馬区からもアクセスが便利です~
ホームページはこちら